درمان گیاهی کیست تخمدان
- بابک عزتی رنجبر
کیست تخمدان مشکلی است که ممکن است برخی از زنان با آن روبهرو باشند. مشکلی که میتواند قدرت باروری را تحت تأثیر قرار دهد. در این مقاله با ما همراه باشید تا در مورد درمان گیاهی کیست تخمدان بیشتر بدانید.
کیست تخمدان چیست؟
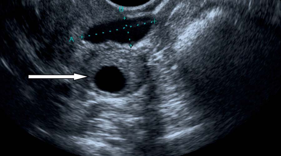
کیست تخمدان ساختارهایی بسته و کیسهمانند درون تخمدان دارد که حاوی یک ماده مایع یا نیمه جامد است. “کیست” صرفاً یک اصطلاح کلی برای یک ساختار پر از مایع است که ممکن است تومور یا نئوپلاسم را نشان دهد یا نباشد (رشد جدید). اگر تومور باشد، ممکن است خوش خیم یا بدخیم باشد.

علائم کیست تخمدان چیست؟
برخی کیستهای کوچکتر هیچ علامتی ندارند. در این موارد، حتی ممکن است شما ندانید که کیست دارید. کیستهای بزرگتر ممکن است علائم زیر را ایجاد کنند:
- درد لگن یا درد مبهم در پشت شما
- احساس سیری (نفخ) در شکم پایین شما
- درد هنگام مقاربت
- دورههای دردناک
برخی از علائم طولانیمدت ممکن است با بیماری به نام سندرم تخمدان پلی کیستیک همراه باشد. این وضعیتی است که قاعدگی نامنظم و سایر مشکلات مرتبط با هورمون ازجمله چاقی و ناباروری ایجاد میکند. سایر علائم سندرم تخمدان پلی کیستیک شامل هیرسوتیسم (افزایش رشد موهای بدن) و مشکل در کاهش وزن است.
دلایل کیست تخمدان چیست؟
بیشتر کیستهای تخمدان درنتیجه چرخه قاعدگی (کیستهای عملکردی) ایجاد میشوند. انواع دیگر کیستها بسیار کمتر مشاهده میشوند.
کیست های عملکردی چیست؟
در تخمدان شما بهطورمعمول هرماه ساختارهایی مانند کیست به نام فولیکول رشد میکند. فولیکولها هورمونهای استروژن و پروژسترون را تولید میکنند و هنگام تخمکگذاری، تخمک آزاد میکنند.
اگر یک فولیکول طبیعی ماهیانه مدام رشد کند، بهعنوان کیست عملکردی شناخته میشود. دو نوع کیست عملکردی وجود دارد:
- کیست فولیکولار: در حدود نقطه میانی چرخه قاعدگی، تخمک از فولیکول خارج شده و به سمت پایین لوله رحمی حرکت میکند. کیست فولیکولار زمانی شروع میشود که فولیکول پاره نشده یا تخمک خود را آزاد نمیکند، اما به رشد خود ادامه میدهد.
- کیست جسم زرد: هنگامیکه یک فولیکول تخم خود را آزاد میکند، تولید استروژن و پروژسترون را برای بارداری شروع میکند. این فولیکول اکنون جسم زرد نامیده میشود. گاهی اوقات، مایع درون فولیکول جمع میشود و باعث میشود جسم زرد به کیست تبدیل شود.
کیستهای عملکردی معمولاً بیخطر هستند، بندرت باعث درد میشوند و اغلب طی دو یا سه دوره قاعدگی خودبهخود از بین میروند.
کیستهای دیگر :
انواع کیستها که به عملکرد طبیعی چرخه قاعدگی شما مربوط نیستند:
- کیست درموئید: تراتوم نیز نامیده میشود، این میتواند شامل بافت، مانند مو، پوست یا دندان باشد، زیرا از سلولهای جنینی تشکیل میشود. آنها بندرت سرطانی هستند.
- سیستادنوم: اینها در سطح تخمدان ایجاد میشوند و ممکن است با یک ماده آبکی یا مخاطی پر شوند.
- آندومتریوم: این موارد درنتیجه شرایطی ایجاد میشوند که سلولهای آندومتر رحم در خارج از رحم شما رشد میکنند (آندومتریوز). مقداری از بافت میتواند به تخمدان شما متصل شده و رشد ایجاد کند.
کیستهای درموئید و سیستادنوم ها میتوانند بزرگ شوند و باعث شوند تخمدان از موقعیت خود خارج شود. این احتمال پیچ خوردگی دردناک تخمدان شما را که پیچش تخمدان نامیده میشود، افزایش میدهد. پیچش تخمدان همچنین ممکن است منجر به کاهش یا توقف جریان خون در تخمدان شود.
درمان کیست تخمدان
کیستهای عملکردی تخمدان بهطورکلی بدون درمان از بین میروند. پزشک متخصص شما ممکن است داروهای حاوی هورمون (مانند قرصهای جلوگیری از بارداری) را برای جلوگیری از تخمکگذاری و جلوگیری از تشکیل کیست در آینده به شما بدهد. اگر تخمکگذاری نکنید، کیستهای عملکردی ایجاد نمیکنید. در برخی موارد، ممکن است جراحی برای برداشتن کیست لازم باشد.
درمان گیاهی کیست تخمدان
شاید شما تابهحال درمانهای زیادی مانند انواع قرصهای هورمونی را برای کیست تخمدان امتحان کرده باشید و به نتیجه دلخواه خود نرسیده باشید؛ و در این حال شاید لازم باشد که درمانهای دیگری مانند درمانهای جراحی و یا حتی درمانهای گیاهی را امتحان کنید.
فراسیون معجزه درمان کیست تخمدان
فراسیون چیست؟ فراسیون گیاهی با شاخههای زیاد از یک ریشه و رنگهای خاکستری تا سفید و برگهای آن بهاندازه انگشت اشاره میباشد. گلهای این گیاه دایرهای شکل هستند و مزه تلخی دارند. اگر این گیاه عصاره گیری شود منفعتهای درمانی بسیاری را میتوان برای عصاره آن برشمرد. طبیعت این عصاره به دلیل اجزاء آن گرم و خشک است.
این طبع گرم و خشک خود محتمل خواص بسیاری از دیدگاه طب سنتی است.
برای مثال به دلیل تلخی موجود در این گیاه و خاصیت خشک بودن آن نمیتواند ملین باشد.
همچنین گرمی طبع آن و وجود ترکیبات تلخ در آن باعث میشود این گیاه قاعده آور باشد و کرمها و انگلهای گوارشی را نابود کند.

درمان کیست تخمدان با فراسیون
بسته درمان کیست تخمدان شامل 4 عصاره از فراسیون سفید است. این عصارهها با اثراتی که بر ورمهای داخلی بدن دارد میتواند ریشه و علائم بیماری کیست تخمدان را از بین ببرد.
مکانیسم اثر فراسیون بر کیست تخمدان
شاید برایتان جالب باشد که این عصاره گیاهی چگونه بر عارضه کیست تخمدان اثر میکند و آن را از بین میبرد؛ عصاره طبیعی فراسیون با توجه به مواد مؤثرهای که در خود دارد دارای خواص مختلف برای درمان کیست تخمدان است:
- پایین آمدن سطح هورمون LH
- پایین آمدن سطح هورمون تستستورون
- رفع مشکل پرمویی
- کاهش سطح کلی کلسترول
- مهار تبدیل تستستورون به استرادیول با جلوگیری از فعالیت آنزیم آروماتاز
- پاک کردن ریه و بهبود خونرسانی در بدن

معرفی بسته درمان کیست تخمدان کرویا
به این مقاله امتیاز بدهید:
میانگین امتیاز: 0 / 5. تعداد رأی: 0
دیدگاهی در مورد “درمان گیاهی کیست تخمدان”
وقتی کسی کیست داشته باشه همش درحال خونریزی مگه نیست پس چطور این گیاه قاعده آور باعث خوب شدن میتونه باشه